Currently Offering Introductory Pricing!


Higher image quality translates into:
This results in more actionable reports, better treatment planning, and improved communication with clients.

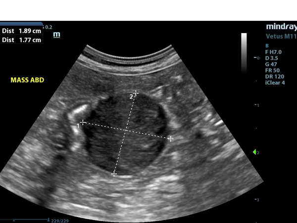
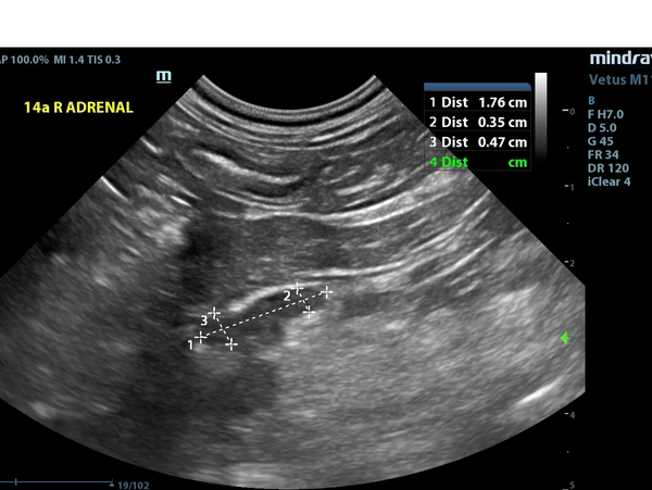
The Mindray M11 performs exceptionally well in situations where ultrasound is often most difficult:
Consistent image clarity allows exams to be performed efficiently without sacrificing diagnostic quality, which is especially important in ER and hospitalized patients. The Ninja C6 low frequency probe combined with sedation allows for abdominal assessment of patients 80lbs+ with confidence.

The system supports high-quality imaging across:
This allows comprehensive imaging during a single visit while maintaining diagnostic standards appropriate for referral-level medicine.
The Mindray Vetus M11 allows Insight Imaging & Diagnostics to deliver clearer images, stronger interpretations, and more definitive answers—keeping advanced diagnostics within your hospital and supporting timely, confident patient care.

We use cookies to analyze website traffic and optimize your website experience. By accepting our use of cookies, your data will be aggregated with all other user data.